找回密码
 立即注册
首页 业界区 安全 中医面相学10金(鼻子、颧骨和上颊、面部) ...

中医面相学10金(鼻子、颧骨和上颊、面部)

秦晓曼 2025-6-26 11:00:55
10 金

金属元素难以理解,需要把握其模糊性。尽管它最好地象征着中国硬币,但也对应于西方元素中的空气。这种关联是有道理的,因为古代硬币是实心的,但中间有一个孔(空气或空虚)。因此,金属元素是一种二元性;它是圆中带方的象征。它由两种金属颜色组成:温暖的金色和凉爽的银色。它既实质又虚无,既简单又优雅。这些看似矛盾的方面无需融合。事实上,平衡金属元素可能涉及同时具备不同特质。它对应于呼吸的吸入与呼出。在中医学中,金属元素的主要脏腑是肺,它是除大脑外人体最重要的脏腑。肺是最容易受到外部影响的脏腑,如寒、热、风、细菌或病毒。肺与皮肤是抵御古代中国人最害怕的“外邪”的最后防线!当然,这些现在可以被解释为病毒、细菌和真菌。中国人害怕寒冷、炎热、风和潮湿的元素及其对身体的影响。金属系统中与之相关的身体部位包括肩膀和上背部、结肠、支气管、黏膜和体毛。
金属元素的关键特征是鼻子。鼻子越大、越强壮、越宽、越突出或越美丽,金属元素就越强。金属元素的次要特征包括颧骨、上颊和皮肤。金属元素还负责面部特征之间的距离和空间,即面部的“白空间”。与金属元素相关的情感是悲伤和哀痛。相关问题涉及自我、界限、自尊、自我价值以及缺乏或充裕的感觉。
金属型的人通常拥有非常对称的面部特征,任何面部特征或骨骼结构的精致化都表明金属元素的影响。拥有大量金属元素的人常常被视为贵族般优雅且举止得体,即使他们未必出身于社会上层阶级。不幸的是,他们也常因身体和情感上的敏感性以及天生的精致而被视为难以相处或昂贵。然而,对此的最佳描述来自我的爱尔兰客户之一,她自称是“自我维护的高维护女性!”金属型的人确实不喜欢给他人带来麻烦,且非常自立。他们常常需要远离生活的残酷,不是因为他们对此不知情,而是因为他们对生活的残酷过于敏感,需要保护自己免受悲伤和痛苦的侵袭。因此,金属型的人明智地选择在自己营造的避难所中自我封闭,以便日后能重新面对现实世界的残酷。他们钟爱美丽洁净的环境与宁静开阔的空间,需要大量个人空间并享受独处时光。但切勿误解,金属元素的强度远超表面印象,它在经历烈火锻造与艰难岁月后方能达到巅峰。
金属是五行中的文明力量。它磨平尖锐的边缘,去除不必要和无关紧要的部分,并创造一个缓冲区以抵御外部世界的严酷。金属通过帮助确定特征之间的设置和空间,以及控制多少内在自我应向外界展示,来创造这种缓冲。因此,它就像一个守门人或屏障,保护着——有时保护得过多。当火元素推动所有情感的表达时,金属会抑制或缓和这种表达。因此,金属元素负责所有特征之间的距离或亲密程度。
金属能量较强的人外表显得平静安详,但内心通常非常活跃。他们更注重精神层面而非身体层面,敏锐的感官使他们能察觉到他人容易忽视的细微差别。然而,这也让他们更容易将世界视为充满敌意的地方,因为他们对阳光、风、寒冷、炎热和蚊虫等自然元素更为敏感,这与他们皮肤较薄、二氧化碳呼出量较大的生理特征有关。金属型人的表情常显得有些疏离或冷漠,但这实际上是一种自然的内敛,可能掩盖了内心的害羞。他们的面部特征常显得棱角分明、精准,或精致优雅。大而长的鼻子以及非常对称或鹰钩鼻的特征,表明了金属元素的情感力量。
10.1 鼻子

古代中国人将大鼻子与游牧祖先联系起来,这些祖先曾来自极寒气候地区。由于当地空气异常寒冷,人们进化出更长更大的鼻子以在空气进入肺部前进行预热;否则肺部将受到损伤。在如此恶劣的环境中生存需要拥有足够强大的自我信念,认为自己本应在这种条件下生存,并赋予这些个体努力改善生活的雄心。因此,大鼻子对应于健康的自我意识或自我需求,而长鼻子则与雄心壮志相关(图8-1)。然而,气候的影响可能导致人们孤立,因此大鼻子也暗示着孤独的性格和独立的精神。长鼻子则与尽管面临障碍仍坚持追求成功的微妙但强大的驱动力相关。
1.png

照片中的女性拥有长鼻子,这表明她具备雄心壮志并愿意努力工作以实现目标。她因此会产生强烈的成就感。
与面部其他测量指标一样,鼻子的大小需与其他面部特征的大小以及整个面部的大小和丰满度相协调。面部狭窄且五官细腻的人通常不会拥有大而丰满的鼻子。然而,这种情况确实存在,且因其罕见性而更具深意。同样,面部宽阔且五官丰满的人也不太可能拥有小巧或狭窄的鼻子。若出现这种情况,则表明其突破了常规模式,这揭示了关于其性格与健康的重要信息。
大鼻子象征着强大的自尊心,因为它象征着强大的肺部。肺部就像气球:你往气球里灌的空气越多,气球就越大。当人们挺胸抬头时,人们常说他们“自视甚高”或“满嘴跑火车”。无论哪种情况,都表明那些对自己感到满意的人会深呼吸并挺直腰板,展现出他们的自信。同样,当人们缺乏自信时,他们会蜷缩肩膀,胸部变得凹陷。很可能他们也有较小的鼻子。大鼻子也可能是权力的象征。幸运的是,由于金属元素代表理想,这种权力通常用于让世界变得更好。这也是个人独特性的标志。
当一个人拥有小鼻子时,这意味着其祖先最初来自热带气候地区,那里空气温暖湿润,食物丰富,人们无需与自然环境抗争即可生存。因此,人们认为来自这些地区的人更倾向于被动和群体导向。他们过着合作和社会化的生活。人们推断,玩乐对拥有小鼻子的人来说非常重要。
2.png

照片中的女性拥有小鼻子,这表明她渴望享受乐趣。当她工作时感到自己在玩乐,生活对她来说将是最愉快的。
鼻子较小的人希望融入群体,而非在人群中脱颖而出。他们需要大量时间感受玩乐的状态;这在工作中尤为重要。若必须工作,他们更倾向于轻松的生活方式和宽松的工作氛围。他们常怀念过去生活节奏较慢、人际关系更友好的时代。他们喜欢团体活动,更愿意成为家庭或团体的一员。他们个人野心不大,因此是优秀的团队成员和非常忠诚的员工。
当鼻梁从面部突出超过一英寸时,你便遇到了一个开拓者。那些在侧面轮廓中鼻梁突出明显的人,喜欢以新颖独特的方式做事。他们厌恶常规,不愿随波逐流。他们是世界的开拓者和冒险家。当西方水手首次抵达中国海岸时,中国人对他们鼻梁的大小感到惊叹。事实上,中国人给他们起了个绰号叫“大鼻子”。他们来自欧洲国家,中国人特别惊讶于他们的鼻子凸出脸部有多远。这是在中国非常罕见的特质,当然也解释了为什么这些旅行者会离开家乡的安全环境来到异国他乡——这全是因为他们的鼻子!
3.png

照片中的这位男子是一位开拓者,从他的鼻子就能看出这一点,他的鼻子从脸上凸出。他喜欢以新颖独特的方式做事,工作和思考方式都具有前瞻性。
鼻子较平的人则满足于按部就班地生活。他们对创新和变革的接受速度较慢,更倾向于传统而非新奇的事物。鼻子较平的人更具顺从性,冒险精神较弱。他们更倾向于与他人同行,或参加有组织的旅行或邮轮。他们不理解危险探险的吸引力,除非是通过他人经历来间接体验。他们常有安全顾虑,更倾向于在群体中保持匿名。鼻子较小的人合作性强,与他人及家庭相处融洽。
4.png

照片中的女性是一个合作、以群体为导向的个体,这从她平坦的鼻子可以看出。她不需要在人群中脱颖而出,更喜欢通过群体努力获得的成就。
鼻子被称为“脸部的钱箱”。鼻梁显示了能获得多少财富或需要消耗多少能量。鼻底(包括鼻孔)显示了能节省多少财富或能量。肉鼻被视为物质主义的象征。土元素在此强调了对事物欣赏与积累的能力。拥有这种鼻型的人重视并享受拥有大量物品的乐趣。如果鼻子肥大,拥有者可能过度沉迷于物质世界及其享乐。这类人积累物质仅仅是为了拥有大量物品的喜悦。
5.png

照片中的男子拥有肥厚鼻子,表明其对物质享乐的需求。他热衷于积累和收藏。
瘦长或狭窄的鼻子属于那些重视理想胜过金钱的人。他们更注重质量而非数量。他们宁愿拥有自己真正想要的东西,也不愿将就于临时之物,因此可以选择不拥有。
6.png

骨感鼻子表明一个人排斥物质事物,更倾向于简单生活,甚至在某些情况下像苦行僧一样生活。这类人往往重视以价值观为基础的生活方式,极端情况下可能渴望修道院式的生活,并可能更倾向于艰苦而非享乐。
7.png

当鼻梁宽阔时,这是拥有额外赚钱能量的标志。金钱更容易且以更大数量流入,因为此人能够更努力地工作。
8.png

当鼻梁狭窄时,从事体力劳动的能量较少,体力劳动更是难以胜任。拥有这种鼻型的人也难以一次性赚取大量金钱,因为他们无法长时间工作。相反,金钱通常以较小的金额流入,他们需要依靠脑力而非体力来为自己的努力赚取更多金钱。
9.png

鼻梁上的突起是渴望掌控一切的人的标志。这是自豪感的表现之一。这种人并非优秀的追随者,却能成为卓越的领导者。若鼻梁倾斜并向上翘起,则表明此人更倾向于追随他人。此类个体的努力终将获得回报,因为据说鼻梁上的能量会在晚年回馈给本人。
10.png

照片中的女性鼻梁上有突起。中国人认为这种突起是需要掌控一切的人的标志。她是一位领导者,而非追随者。
鼻孔是钱箱的第二部分。它们就像存钱罐上的孔洞,让金钱或能量流出。非常宽大的鼻孔表明一个人容易花钱和消耗能量。对于这类人来说,就是“来得容易,去得也快”。
11.png

狭窄的鼻孔表明一个人希望物有所值。他们仍然会花钱,但同时也在努力节省。许多这样的人可以在仓储式超市看到,他们大量购买商品,因为这些商品以折扣价出售。这些人还喜欢购买打折商品。然而,他们实际上可能会在试图节省金钱的过程中花费大量金钱。在能量方面,他们会根据不同情况判断所需的能量消耗。如果消耗能量能带来回报,他们就会使用能量。
12.png

照片中的女子鼻孔扁平且狭窄,尺寸不大,这表明她倾向于寻找优惠商品并喜欢购买打折商品。她希望获得物有所值的商品或服务。
小鼻孔表明一个人会紧握金钱和能量。这些人不太喜欢消费;然而,这并不意味着他们吝啬。他们只是非常清楚物品的成本。他们也非常清楚自己为了赚取即将花费的这笔钱所付出的能量。
13.png

照片中的男子鼻孔较小,这意味着他在消费前会评估物品的成本。他不会轻易花钱,且具备良好的储蓄能力。
鼻孔张开表明嗅觉能力增强,以及对具有审美价值物品的购买需求增加。
14.png

照片中的女性鼻孔外翻。这是嗅觉敏锐和审美能力增强的标志。她品味极佳,不会将钱花在不美丽的事物上。
鼻翼(即包含鼻孔的鼻侧)也强调了这些与消费和储蓄相关的特质。如果鼻翼非常坚实且轮廓分明,拥有者在金钱方面很有纪律性,能够很好地保存金钱。如果鼻翼松弛且轮廓不明显,拥有者对个人习惯和财务管理较为随意。如果鼻翼扁平,则表明个人和财务方面都缺乏纪律性。
15.png

照片中的女性鼻翼轮廓非常清晰,即鼻孔周围的皮肤。这表明她对花钱非常有纪律性,并且非常擅长储蓄。
关于鼻子最有趣的一点是,它是一个脊柱的全息图,可以用于诊断背部问题。这一点在第12章中有详细讨论。
10.2 颧骨和上颊

颧骨就像脸部的肩膀。我母亲过去常称它们为皮肤的支架。她说,如果一个人有颧骨,皮肤会更紧致,看起来更年轻,因为皮肤不容易下垂。较大的颧骨与强烈的金属能量相关。较大颧骨的一个特征是自豪感。当一个人自尊心很强时,他们会好好照顾自己,因此不会那么快变老,而且他们通常会打扮得体。颧骨也显示出霸道。如果你有明显的颧骨,你一定很霸道。颧骨实际上分为两部分,即“皮”和“肉”。“皮”是指眼睛下方的颧骨前部。拥有这种特征的人会表现出霸道,但不一定能真正行使权威。颧骨在太阳穴下方侧面强烈的部分揭示了咬合。这意味着当要求或请求未被执行时会产生后果。拥有这种颧骨的人期望他人听从。这是权威的标志,背后隐含着若接收者未按预期行事将被排斥的威胁。两者的区别在于潜在的金属力量。拥有前颧骨的人希望他人听从并照做,而拥有侧颧骨的人则理所当然地期待如此。若一个人兼具两者,那么此人必须被听从!他们还具备我所称的“父母死亡凝视”能力。这种眼神意味着“别那样做,否则……”它蕴含一种冰冷权威,对教师而言也极为有效。别忘了,颧骨是金属力量的标志之一。
16.png

这张照片中的女性拥有强烈的颧骨,这是霸道性格的标志。此外,她充满自豪感,并具备权威性地发言的能力。
颧骨上的肉垫表明这是一个以一种你几乎察觉不到的方式发号施令的人。额外的肉垫增添了土元素,使这个人在发号施令时更加温和。如果颧骨骨感且棱角分明,那么发号施令时不会拐弯抹角。请求以尖锐的方式提出,言辞听起来锋利。从太阳穴区域向嘴巴方向倾斜的颧骨,且非常明显,是文化冒险精神的标志。这种冒险通常涉及学习其他语言和文化、旅行到异国他乡,甚至在食物或娱乐选择上表现出文化冒险精神。
17.png

照片中的男子拥有以强烈对角线倾斜的颧骨,表明他渴望文化冒险。这可能包括旅行的愿望或尝试新奇美食的兴趣。
较小或扁平的颧骨常见于不喜欢被指挥或指挥他人的人。他们主要是自主行动者。当颧骨区域扁平、凹陷或凹陷时,拥有者会面临权威和自尊问题。这些人讨厌被别人告诉该做什么,更讨厌告诉别人该做什么。他们更喜欢独自工作。他们无法忍受有人监督他们,通常对自己的成就感到不满意。他们往往缺乏对工作的自豪感。事实上,他们通常认为任何人都能做到他们所做的事。他们不喜欢给出建议,更倾向于讲述自己在类似情境下的经历,并希望通过榜样作用来帮助他人。
18.png

这张照片中的男子颧骨不高,表明他不喜欢告诉别人该做什么。他具有自主性,需要独自完成工作。
脸颊区域是监测肺部健康最重要的区域之一。该区域被称为“生命之息区域”,位于颧骨下方、下颌区域上方。它与属于土元素的“钱袋区域”相邻并延伸至该区域。脸颊还反映免疫系统的功能,相关内容在第12章中有详细讨论。
参考资料


  • 软件测试精品书籍文档下载持续更新 https://github.com/china-testing/python-testing-examples 请点赞,谢谢!
  • 本文涉及的python测试开发库 谢谢点赞! https://github.com/china-testing/python_cn_resouce
  • python精品书籍下载 https://github.com/china-testing/python_cn_resouce/blob/main/python_good_books.md
  • Linux精品书籍下载 https://www.cnblogs.com/testing-/p/17438558.html
  • python八字排盘 https://github.com/china-testing/bazi
  • 联系方式:钉ding或V信: pythontesting
10.3 面部空间

当一个人在金属元素方面具有优势时,此人重视秩序与清洁。他们对环境中的空间有强烈需求,不喜欢被封闭的环境。金属型的人培养出宁静的性格,天生拥有精致的面容,通常非常对称。他们的面部特征之间也留有大量空间,这是金属元素的空气属性。由于金属元素的象征颜色是白色,这些面部空间也可称为“白色空间”。这些空间包括额头上的空间、眉毛与发际线之间的空间、眉毛与眼睛之间的距离、鼻子与嘴巴之间的长度,以及颧骨之间的宽度。金属元素体现了反思与超脱,这些空间也同样体现了这些特质。
额头上的宽广空间表明思想开阔,思维广阔,而较窄的额头则限制了思维,使其更倾向于特定的兴趣领域(见第四章)。
高额头暗示着智力能力和从他人那里学习:
19.png

这个高额头表明这个人的智力思维和哲学本质。高度由金属元素增强,扩展了思维。
而低额头则意味着最好从个人生活经验中学习:
20.png

低额头表明这位女性更倾向于从经验中学习,而非依赖学校、书籍或他人。她具有务实的思维方式。
眉毛之间的宽度是宽容、接纳和不判断的标志,也是父亲祝福的标志(见第7章):
21.png

这位女性眉毛之间的宽度表明她与父亲或其他权威人物关系良好,而这种宽广的空间源于金属元素,赋予她更大的包容性。
眉毛间距较窄的人不喜欢权威,更喜欢自己当老板。他们也较少宽容。
22.png

这位女性眉间距离的轻微狭窄表明,她可能在等级制度中工作时遇到困难。她可能最适合自主创业或从事能获得大量自由的工作。
眼距较宽的人通常具有广阔的视野和宏观思维能力。这类人适应力强、灵活且开放。他们以宏观视角看待生活与知识,通常不喜欢细节。他们可能难以集中注意力,但往往是富有创新精神的思考者,并对不同的生活方式和思维方式持包容态度。
23.png

这位女性眼睛间的宽阔间距表明她更倾向于关注全局。
眼睛间距较近的人通常观察力敏锐且善于分析。他们倾向于关注细节,对与自己观点不同的看法容忍度较低。他们的视野有时较为狭窄,但具备极强的专注力。
24.png

颧骨间距较宽(即颧骨宽)表明一个人具有以权威方式领导的能力。颧骨间距较窄(属于脸型较窄的人)也表明一个人需要独处时间,这也是金属属性的表现。
人中区域(即鼻唇沟,如第四章所述)较长,表明此人能承受调侃,因为他们不会将其视为个人攻击。这类人能超然于任何攻击感,并能享受恶作剧。
25.png

当该区域较短时,此人可能非常敏感,无法承受此类幽默,因为它会刺痛并伤害她。
26.png

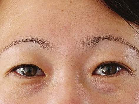
眼睑的暴露程度也与金属元素相关。深陷的眼睑具有金属属性,因为它们体现了悲伤与痛苦,或在困境中无法以接地气的方式自我滋养。

这位女性深陷的眼睑表明她能为爱承受痛苦,并能轻易感受到他人的痛苦。
上眼睑覆盖眼球虹膜的程度是另一个与金属元素相关的特征。如果上眼睑覆盖了虹膜的一部分,拥有此特征的人性格较为内向。当上眼睑在中央下垂,形成一条相对笔直的线横跨虹膜时,拥有此特征的人性格非常公正客观。
28.png

这张照片中的男子眼睑以一条较为笔直的线条遮盖虹膜。这表明他是一个客观的人,能够看到事物的两面。他不太善于评判他人,且在行动上非常公平。
此人能够理解他人的观点。这表明金属元素的力量。当眼睑下垂覆盖外眼角时,该人过去曾受到批评且具有自我批评倾向。右侧代表来自母亲、妻子或其他重要女性角色(包括女性自身)的批评,左侧代表来自父亲、丈夫或其他重要男性角色(包括男性自身)的批评。这是金属元素不足的迹象,因为批评如同针刺般刺破肺部的气球,减少“空气”或自尊心。它也与自身免疫性疾病高度相关,因为最终,外部的批评会被内化为自我批评,进而攻击自我。当眼睑从底部上扬,从下方覆盖虹膜时,你找到了一位特别保护隐私和秘密的人。眼睑在眼睛内侧和外侧下垂,形成所谓的“三角眼”。这是与过去遭受虐待高度相关的特征。具有这种特征的人在生气时会关闭自己的情感,尤其是善良和同情心。这是严重金属不足和自我问题的一种迹象。怨恨和责备被用来掩盖一种深刻的不足感,而仇恨是一种常见的情感。
29.png

照片中的男子眼睑向下覆盖眼睛外侧。由于这一特征出现在他的右眼,表明他过去曾被生活中的一位女性批评过。然而,这也使他的标准更高,思维更加精准。
眉毛与眼睛之间的距离是金属能量的另一种表现。眉毛高高地位于眼睑之上,表明自尊心强且个人期望值高。这种眉毛位于眉骨之上(图8-30)。具有这种特征的人显得冷漠疏离。他们常常认为自己最了解自己和身边的人。他们的界限感强烈,除非对他人产生信任感,否则不会让任何人进入自己的内心世界。这种特征可以通过在惊讶或怀疑的表情中将眉毛抬高,或通过拔除眉毛使眉毛看起来更远来人为制造。无论哪种情况,这种距离感——无论是自然形成的还是人为制造的——都会强化金属特征,甚至可以称为金属过盛。
30.png

照片中的女性眉毛位于眉骨之上。这使她看起来略显疏离,但实际上是自豪感增强的标志。
相反,当眉毛靠近眼睑时,这种眉形被称为“教练眉”。这类人性格友善随和,对他人(而非自己)抱有高期望,并会深度介入试图塑造和改变的对象。例如,我曾认识一位优秀的田径教练,他本人讨厌跑步,却通过训练将许多年轻人培养成田径明星。眉毛位置越低,这些人对门生的介入程度越深。这类眉毛几乎没有界限。这些人建立的关系非常共生且极具个人色彩。他们难以与亲近的人保持距离。作为导师或父母,他们可能将受教者视为自我延伸。如果受教者表现出色,导师便认为自己做得很好。眉毛较低表明金属元素不足。眉毛足够高以清晰露出眼睛,但又不过高,则意味着金属能量平衡。这是自信和健康界限的标志。拥有这种眉毛的人对自我与他人的界限有清晰的认知。
31.png

照片中的女性眉毛靠近眼睛,表明她友善随和。她会深度参与与她共事或关心的人的事务,并试图指导他们。
眉毛毛发的倾斜方向反映了当前的自尊水平,而这种状态可能迅速变化。当毛发向下生长时,表明此人正处于沮丧或挫败的状态,需要心理上的鼓励。眉毛毛发向上外展是自尊心强烈的标志——此时他们对自己感到满意。这些特征象征着空气或金属元素的强度,这些元素将树叶吹向天空。
32.png

这位女性的眉毛毛发从面部向上生长,表明她对自己感到满意。
10.4 鼻唇沟

鼻唇沟指的是鼻唇之间的线条,常被称为笑纹。但中国人称其为“法令纹”或“目的线”(见第二章——情感地图)。它们涉及判断你在人生道路上是否背负了过多的过去。若这些线条过深、过暗或发红,可能存在某些身体问题(见第12章),但拥有这些线条和人生目标在55或56岁之前对延长寿命至关重要。另一个反映结肠功能的区域是下唇边缘,此处的肿胀可能表明气血瘀滞,相关内容在第12章中有更详细的讨论。
10.5 皮肤

皮肤常被称为“第三肺”,因其通过开合毛孔进行呼吸,是抵御环境的第一道防线,也是监测当前肺功能最直观的部位。肤色问题表明肺部虚弱,且其他器官或情绪正主导肺部功能(详见第九章)。肺部状况也可通过皮肤颜色诊断,尤其在下颊区域。
健康的肺部会使皮肤细腻光滑、略带干燥且毛孔细小。肺部的悲伤情绪对面部的影响比其他任何情绪都更为显著。心脏的爱情情绪能使面部美丽,而超越金属的感恩情绪同样具有美化作用(见结论)。深呼吸会在皮肤上产生一种淡粉色的光泽,表明血液和皮肤的氧气供应充足。皮肤的颜色也与心脏有关,皮肤是神或精神表现的另一个地方,因为肺和心脏密切合作(见第11章)。

来源:程序园用户自行投稿发布,如果侵权,请联系站长删除
免责声明:如果侵犯了您的权益,请联系站长,我们会及时删除侵权内容,谢谢合作!

相关推荐

2025-11-24 23:12:24

举报

3 天前

举报

您需要登录后才可以回帖 登录 | 立即注册